We've updated our Privacy Policy to make it clearer how we use your personal data. We use cookies to provide you with a better experience. You can read our Cookie Policy here.

Advertisement

News

Cancer cells.
News

Study Explores Why Breast Cancers Spread to the Bone

Researchers have created an innovative in vitro cancer model to explore why breast cancer frequently metastasizes to bone. This model aims to enhance understanding of the molecular mechanisms involved.
A woman doing sit ups on a mat.
News

Can Aerobic Exercise Help Prevent “Chemo Brain”?

A recent study found that women with breast cancer who began an aerobic exercise program during chemotherapy reported better cognitive function and improved quality of life compared to those receiving standard care.
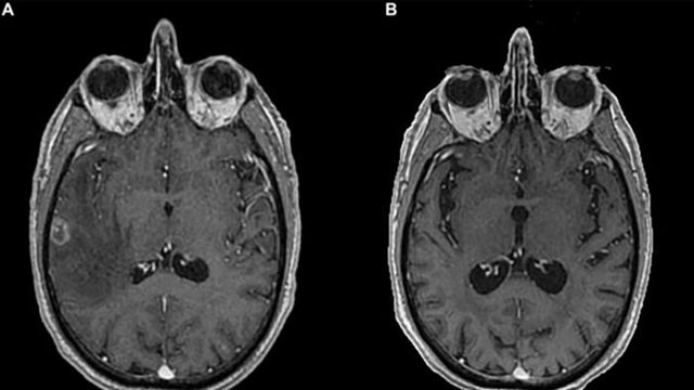
Brain MRI at diagnosis and last Brain MRI performed.
News

Complete Response to Immunotherapy in Stage IV Lung Cancer

A case report highlights a 51-year-old man with stage IV non-small cell lung cancer and brain metastasis who received whole brain radiotherapy followed by immune checkpoint inhibitor treatment.
Cancer cell (orange) highlighted in a target crossfire
News

Unraveling Cancer Drug Resistance

Researchers have mapped the genetic landscape of cancer drug resistance, uncovering that DNA changes can be grouped into four main categories and highlighting possible new therapeutic targets.
Cancer cells.
News

Healthy Diet May Prevent Low-Risk Prostate Cancer From Becoming More Aggressive

A study from Johns Hopkins Medicine reveals that men with low-risk prostate cancer may reduce their progression risk by adhering to a healthy diet. Higher scores on the Healthy Eating Index correlated with lower rates of grade reclassification.
COlorectal cancer cells stained purple, green and blue.
News

Metabolic Map of Colorectal Cancer Challenges Classifications of the Disease

A new study offers fresh insights into our understanding of colorectal cancer, challenging the conventional right- and left-sided disease classifications.
A computer chip with the letters A.I.
News

Skin Cancer-Checking AI Model Outperforms Existing Methods

An AI model designed to detect skin cancer outperformed existing methods in a new study.
Hepatic stellate cells stained under a microscope.
News

Researchers Identify Biomarkers for Liver Cancer Immunotherapy

Researchers link NBR1 protein levels in liver cancer to immunotherapy effectiveness. High NBR1 may indicate poor response to treatment, while lowering NBR1 shrinks tumors in mice.
Cancer cells.
News

Origin of Deadly Ovarian Cancer Identified

Study reveals that high-grade serous carcinoma, the most aggressive form of ovarian cancer, originates from pre-ciliated tubal epithelial cells in the fallopian tube. This research provides insights into potential diagnostic and therapeutic targets.
Cancer cells.
News

Immunotherapy Trial Boosts Advanced Hodgkin Lymphoma Survival

Researchers have developed an immunotherapy for advanced Hodgkin lymphoma that increased survival rates to 92 percent. This innovative approach reduces long-term side effects associated with traditional treatments.
Advertisement